La dysplasie de la hanche chez le chien, Dr Guy Beauregard, m.v

Qu'est-ce que la dysplasie de la hanche?

C'est une anomalie de développement de la hanche qui mène éventuellement à la dégénérescence (ostéoarthrose) de celle-ci. L'animal qui en souffre naît avec une hanche saine mais, avec la croissance, surviennent des changements « pathologiques » qui favoriseront la détérioration de l'articulation; elle deviendra alors « arthritique ».

Quelle en est la cause?

La dysplasie de la hanche est une maladie complexe et plusieurs questions demeurent encore sans réponse. Tous s'entendent à dire qu'il s'agit d'une maladie héréditaire. Par contre, d'autres facteurs (environnementaux) peuvent influencer l'apparition et/ou la sévérité de la maladie. L'alimentation, la supplémentassion et l'exercice peuvent avoir un rôle à jouer dans le développement et les manifestations cliniques de la dysplasie de la hanche, mais cela si, et seulement si, l'animal est porteur des gênes de la maladie.

Quelles races en sont affectées?

Tous les chiens, quelle qu'en soit la race, peuvent être affectés par la dysplasie de la hanche. Néanmoins, elle est beaucoup plus fréquente par  chez les chiens de race géante, grande et moyenne.

Quels sont les symptômes de la dysplasie de la hanche?

Il n'y a aucun symptôme caractéristique de la dysplasie de la hanche mais certains signes devraient nous mettre la puce à l'oreille; difficulté à se lever, à monter les escaliers, à sauter, intolérance à l'exercice, boiterie plus ou moins sévère d'une ou des deux pattes arrière après une période de repos, course en « saut de lapin »...

Comment peut-on confirmer qu'un chien souffre de la dysplasie de la hanche?

Le vétérinaire, lors de l'examen du patient, met en évidence une douleur (ou un inconfort) à la manipulation d'une ou des deux hanches. Grâce à la radiologie, il pourra confirmer le diagnostic de dysplasie de la hanche. Il note alors une déformation plus ou moins importante de l'articulation.

Peut-on traiter cette maladie?

Heureusement, il existe aujourd'hui plusieurs méthodes de traitement pour la dysplasie de la hanche (aucun traitement ne peut éliminer la maladie). Le traitement idéal diffère d'un patient à l'autre puisque le choix de ce traitement tient compte de plusieurs facteurs. Le but ultime est de rendre l'animal confortable et de lui redonner une belle qualité de vie. Il existe ainsi des traitements que l'on dit conservateurs et qui font appel au contrôle de l'environnement (avec ou sans médication) et d'autres qui requièrent une ou plusieurs interventions chirurgicales. La « prévention » demeure le meilleur traitement.

Comment peut-on prévenir la dysplasie de la hanche?

Par un contrôle rigoureux des animaux reproducteurs. Puisqu'il s'agit d'une maladie héréditaire, il est important de bien choisir qui peut ou ne peut pas se reproduire. Pour ce faire, il est primordial de connaître le statut des hanches des animaux que l'on souhaite reproduire ainsi que celui de leurs ancêtres . L'Orthopedic Foundation for Animals (O.F.A.) ainsi que le Pennsylvania Hip Improvement Program (PennHIP) sont deux organismes qui évaluent, à leur façon, l'intégrité des hanches des sujets reproducteurs. Chacune de ces techniques radiographiques a ses forces, mais aussi ses faiblesses; il est présentement impossible de détecter tous les animaux « porteurs » des gênes de la maladie, car il n'y a actuellement aucune technique de détection qui soit parfaite.

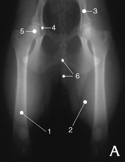
Radiographies des hanches de deux chiens différents

Hanches normales

Légende :

  1. Fémur
  2. Muscles
  3. Bassin
  4. Acétabulum (cavité qui reçoit la tête du fémur)
  5. Tête du fémur
  6. Vertèbres coccygiennes (base de la queue)

Hanches dysplasiques

Remarquer :

  • la fonte (atrophie) musculaire (B2 vs A2).
  • l'ostéoarthrose (dégénérescence des surfaces articulaires) qui se manifeste par une irrégularité de l'acétabulum (B4 vs A4) ainsi que par la présence d'ostéophytes (petites aspérités comme en *).
  • le remodelage de la tête fémorale (**).
     

© Bouvier des Flandres Élites Québécois